Sabitlenmiş Tweet
Dau⚕️
17.9K posts

Dau⚕️
@daoo100
🩺 General physician. Cricket lover💙 | #MedX |
navi mumbai Katılım Kasım 2017
4K Takip Edilen3.5K Takipçiler
Dau⚕️ retweetledi
Dau⚕️ retweetledi

Correct Answer: B) Chickenpox (Varicella)
The most likely diagnosis is chickenpox (varicella), based on the characteristic clinical presentation and rash appearance.
Clinical Features:
Varicella typically presents with a generalized vesicular rash described as “dewdrop on a rose petal,” which refers to clear vesicles on an erythematous base. The rash usually begins on the scalp or trunk and then spreads to the rest of the body. A key feature is pleomorphism, meaning lesions are seen at different stages simultaneously (papules, vesicles, and crusts). This finding strongly supports varicella.
Differential Diagnosis:
Measles (rubeola) presents with a maculopapular rash that starts behind the ears and spreads downward, often associated with cough, coryza, and conjunctivitis. It does not produce vesicular lesions.
Rubella also causes a maculopapular rash but is milder and associated with post-auricular lymphadenopathy.
Dengue fever presents with high fever, severe myalgia, and a maculopapular or flushing rash, not vesicular.
Conclusion:
The presence of a vesicular rash with lesions in different stages of development and the typical distribution confirms the diagnosis of chickenpox (varicella).
English
Dau⚕️ retweetledi

A question for intelligent and focused doctors ☺️☺️👌
Bear paw sign
What is Your Diagnosis???
Comment your answer
#MedX

English
Dau⚕️ retweetledi
Dau⚕️ retweetledi
Dau⚕️ retweetledi
Dau⚕️ retweetledi

#PathQuiz #Pancreas🍤
57-year-old woman with a 50 mm incidental unilocular cyst in the pancreatic tail.
A) Mucinous cystic neoplasm
B) Simple mucinous cyst
C) IPMN
D) PanIN
#Pathology #GIPath @IARCWHO

English
Dau⚕️ retweetledi

Straight forward
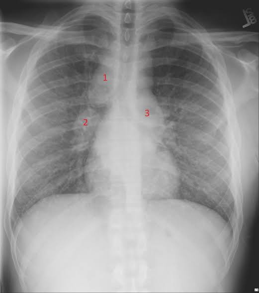
Patient complaints of cough,rash and joint pains.
What is this sign and diagnosis?
#MedTwitter #MedX #MedEd #CardioTwitter #GITwitter #FOAMed @albertoortegana @TSM_Humanist @drsthanus @IhabFathiSulima @esanum @mendietaalex1 @MEmwanta @daoo100 @PJaseja


English
Dau⚕️ retweetledi

What’s your differential diagnosis?| Medical | medicine | USMLE
#medical #medicine #usmle
#Medtwitter #MedX
@dr_manish_ydv @Dr_Shiv_kumar_ @hemo_shk @drobiy12

English
Dau⚕️ retweetledi
Dau⚕️ retweetledi
Dau⚕️ retweetledi
Dau⚕️ retweetledi

IOC for conn's syndrome: ----❓---test.
#MedX ?
Dau⚕️@daoo100
What is the main cause of calcium bilirubinate gallstones ❓ #MedX ?
English
Dau⚕️ retweetledi
Dau⚕️ retweetledi

@daoo100 Chronic hemolysis
Calcium bilirubinate stones (black pigment stones) form due to ↑ unconjugated bilirubin in bile
This happens when there is excess breakdown of red blood cells
English
Dau⚕️ retweetledi









