Ola Folarin,MD
107 posts

Ola Folarin,MD
@efohess
AP/CP: PennMedicine, Cytopathology: NYP-WCM, Breast Pathology:MSKCC
Manhattan, NY Katılım Eylül 2010
171 Takip Edilen125 Takipçiler
Ola Folarin,MD retweetledi

Free access!🔬 Are we on track for diagnosing high-grade urothelial carcinoma with a minimum quantity of 5 malignant cells in lower tract specimens? Critical analysis of The #ParisSystem Quantitation Criteria
acsjournals.onlinelibrary.wiley.com/doi/full/10.10…
#CytoPath @efohess @mtsiddi

English

We wrapped up our hemepath fellowship with laughs, memories, great food, and even better company! Grateful for this wild, wonderful ride! ❤️#graduation2025 #hemepath #PathTwitter @StanfordPath



English

@Hussain78496581 @shwetmike I have a possible missing baggage (x4)! I have DM you but no response! Emailed baggage and claims, nothing! It’s my family’s first time with EGYPTAIR and this is plain “horror”!
English

@EGYPTAIR This must be a joke! My flights were rescheduled by you after I booked (full amount 614€) in a way that it was impossible for me to avail the return leg. I asked for a refund 3 weeks before the flight date. And 6 months later, you refunded me 46,71€! Ridiculous!
English
Ola Folarin,MD retweetledi

Great presentation “Enhancing Breast Pathology: Clinical Validation of AI-Assisted Diagnosis” by our Breast Pathology fellow Olawunmi Folarin @MSKPathology at the Breast Pathology Platform. Congratulations! @MSKPathology @MGHannaMD @EdiBrogi @rovingatuscap #USCAP2024 #breastpath



English
Ola Folarin,MD retweetledi
Ola Folarin,MD retweetledi

Hot off the press 📰🔬 | The authors conclude that interobserver agreement is excellent using the 5 Yokohama System categories in liquid-based cytology.
acsjournals.onlinelibrary.wiley.com/doi/full/10.10…
@efohess @mtsiddi #CytoPath

English

Ola Folarin,MD retweetledi

#ASCyto23
Dr. @aakasharmand doing what he does best ! 🤩
Awesome talk 👏
Thanks Dr. Baloch !! ✨

English

Ola Folarin,MD retweetledi

Very nice start in the first day of the #ASCyto23 meeting ! Happy to meet amazing colleagues and future cytopathologists! #Cytology #CytoPath @templepathology


English
Ola Folarin,MD retweetledi

Congratulations to our very own Dr. LiVolsi @LivolsiVirginia @PennPathLabMed @PennMedicine for receiving the CAP lifetime achievement award. #cap23 #PathTwitter #pathX #cap2023

Chicago, IL 🇺🇸 English

@ALBoothMD @wusm_pathology @NU_Pathology @XiuliLiu1 @washupathedu @navale_pooja @fouad_boulos @TrieuMD @KMirza @HansiniMD Congratulations 🎊 and best wishes!
English

Excited to announce I’ll be joining @wusm_pathology later this year!
I’m grateful for the experience gained and friendships made @NU_Pathology
#pathology

English

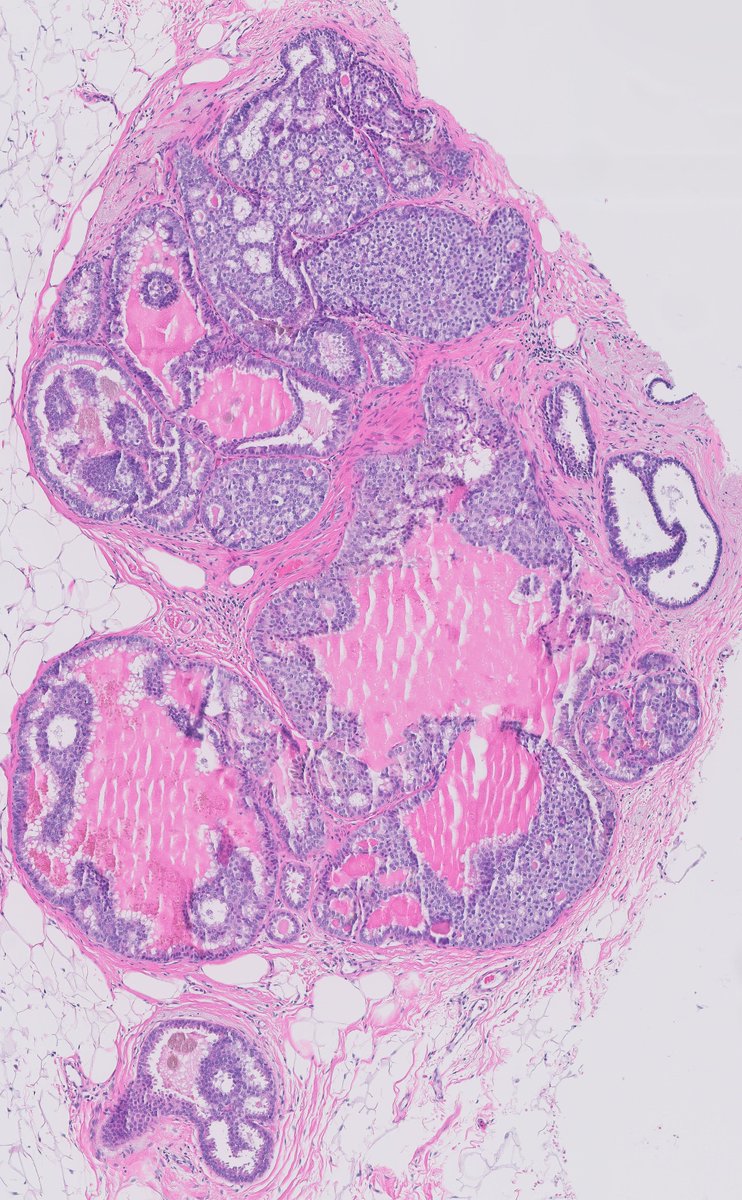
Another ADH vs. DCIS borderline case.
Stay tuned for my thoughts on such cases tomorrow!
@wusm_pathology @washupathedu #breastpath #PathTwitter #PathX #pathology

English

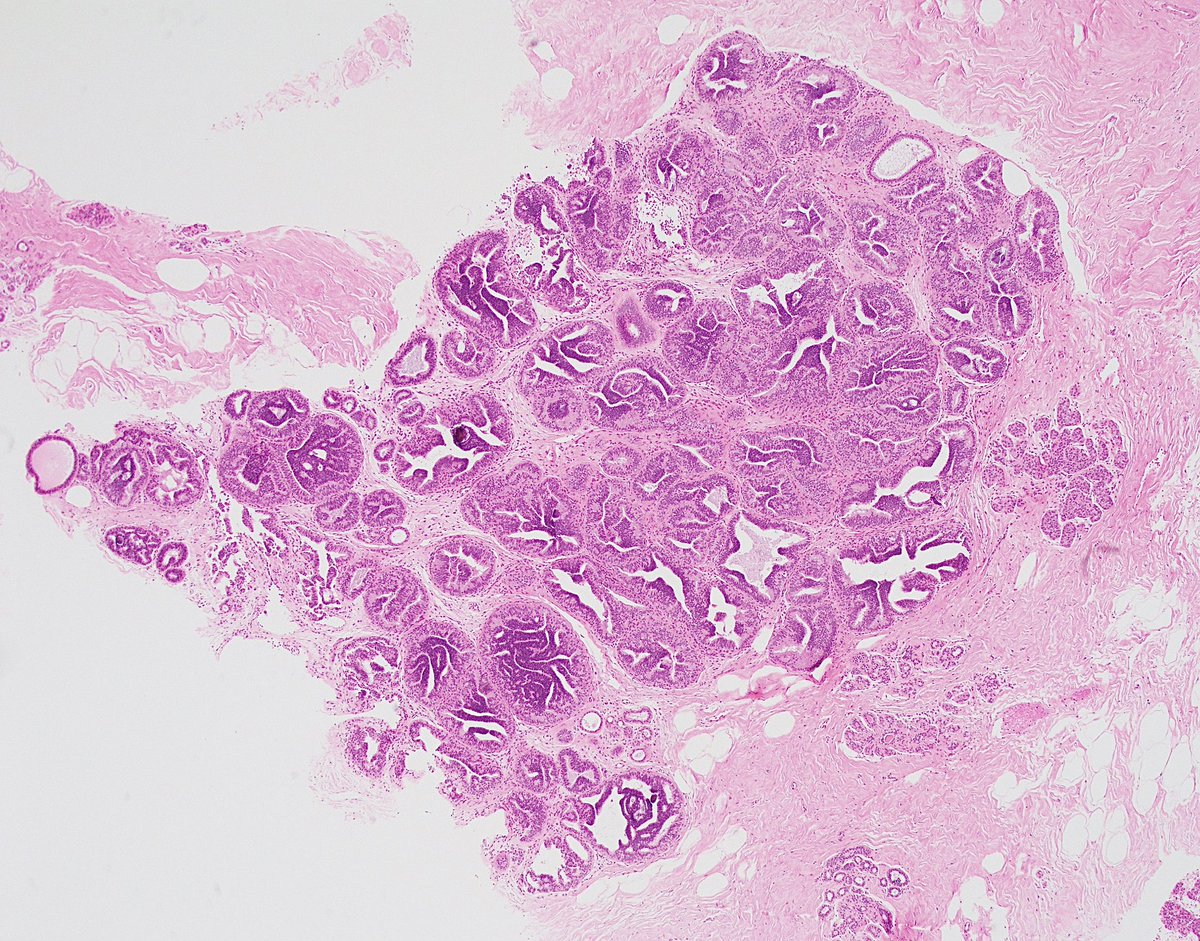
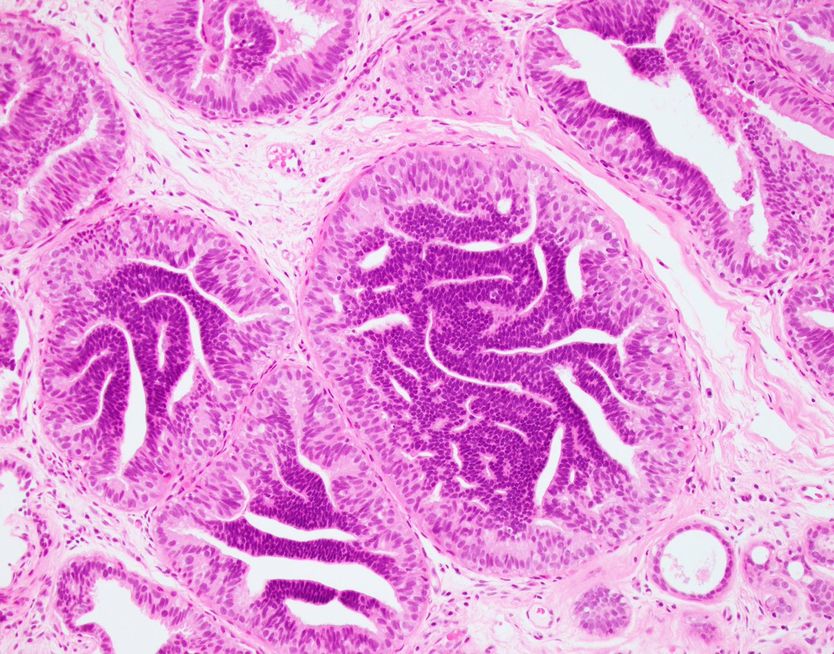
I have been avoiding this topic for a while, but I think it’s time to ease into it. This may take a couple or more tweets, it certainly deserves a few. So let’s get right into it with this pictorial introduction.
ADH or DCIS? and very importantly, why?
Talk to you soon!
@wusm_pathology @washupathedu #breastpath #PathTwitter #pathology


English

















