handoshera
338 posts











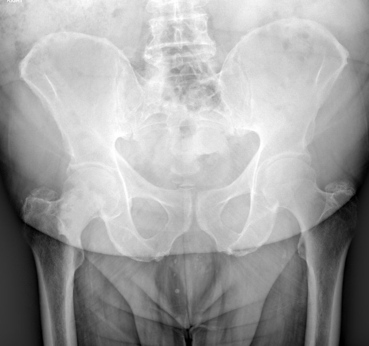
Consent ✅ Right hip pain & stiffness Both hip joints show OA changes - but R more advanced than L Why?








🕵️♂️ Dr. Murphey’s X-Files has arrived at Skeletal Radiology! 📂 Case #001 is now live. 👉 What’s the most likely diagnosis? 💡 Share your thoughts and come back to check the answer! Because, in the end, the truth is in the images. #SkeletalRadiology















Update for those interested! 16 days post discectomy Minimal pain - low grade 2/10 neural ache buttock and fibula head / shin Worse at night and morning but variable Numbness is more annoying! Tib ant power recovering Doing simple upper body weights typically seated or cable Iso rehab for quad, hamstrings and tib ant Stationary bike & elliptical trainer - easy steady state I’m behaving and listening to my brilliant physio Chris Whittle @puresportsmed






















