Sabitlenmiş Tweet

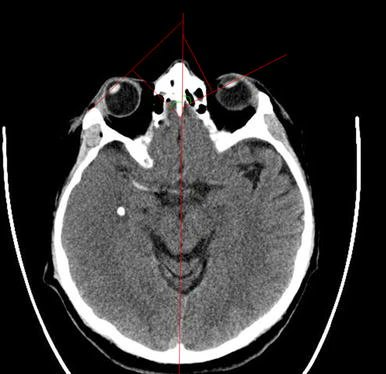
🧠1/ Have you ever felt like you're in a surreal world where sizes and scales are all warped? No, it's not a fantasy—it's a real medical condition! And our latest research dives into this mind-bending phenomenon called Alice in Wonderland Syndrome (AIWS) #Neuroscience #AIWS

English



















