
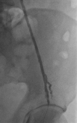
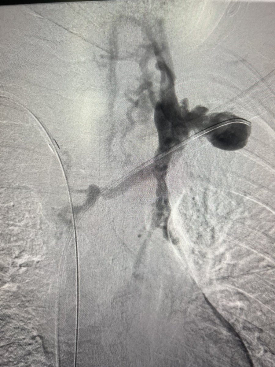
@Naif_87 @SIRspecialists @sirs_ksa @pairsmedia @PhillyAngio @cirsesociety @wais4100 @_backtable @IR_Juniors now I'm curious!
English
Jimmy Kyaw Tun
940 posts

@JimmyKyawTun
Interventional Radiologist @ NUH Singapore ex-BartsHealth Doctorate in Simulation-Based Medical Education #patientperspective #humanfactors #medicalplumbing























🖥️ BSGAR is delighted to announce that the @BSGAR_UK Registrar study day is back for the 10th time 🎉🎉 📅 Join us virtually on Tues 12th Nov for a fantastic day on 'Mastering the Mimics: The Acute, Chronic, and Elusive Abdominal Pain' Sign up 👉 bit.ly/4dhUP83






