Michael Feely, DO retweetledi

Interested in the crossroads of pediatric and adult GI pathology? Members can join us today at 12:00 PM EST for a free e-Learning forum. Please see the details below! #GIPS #GIpath #pathology

English
Michael Feely, DO
458 posts

@MFeelyDO
Gastrointestinal and Liver Pathologist at University of Florida






































UF has the highest 1y liver graft survival in US. HR of graft loss is 75% lower than the American average. Heavy work by many people and reason of great honor for us. Could not be prouder of the team! Gators strong! 🐊@UF @UFHealth @UFSurgery @ASTSChimera #livertwitter




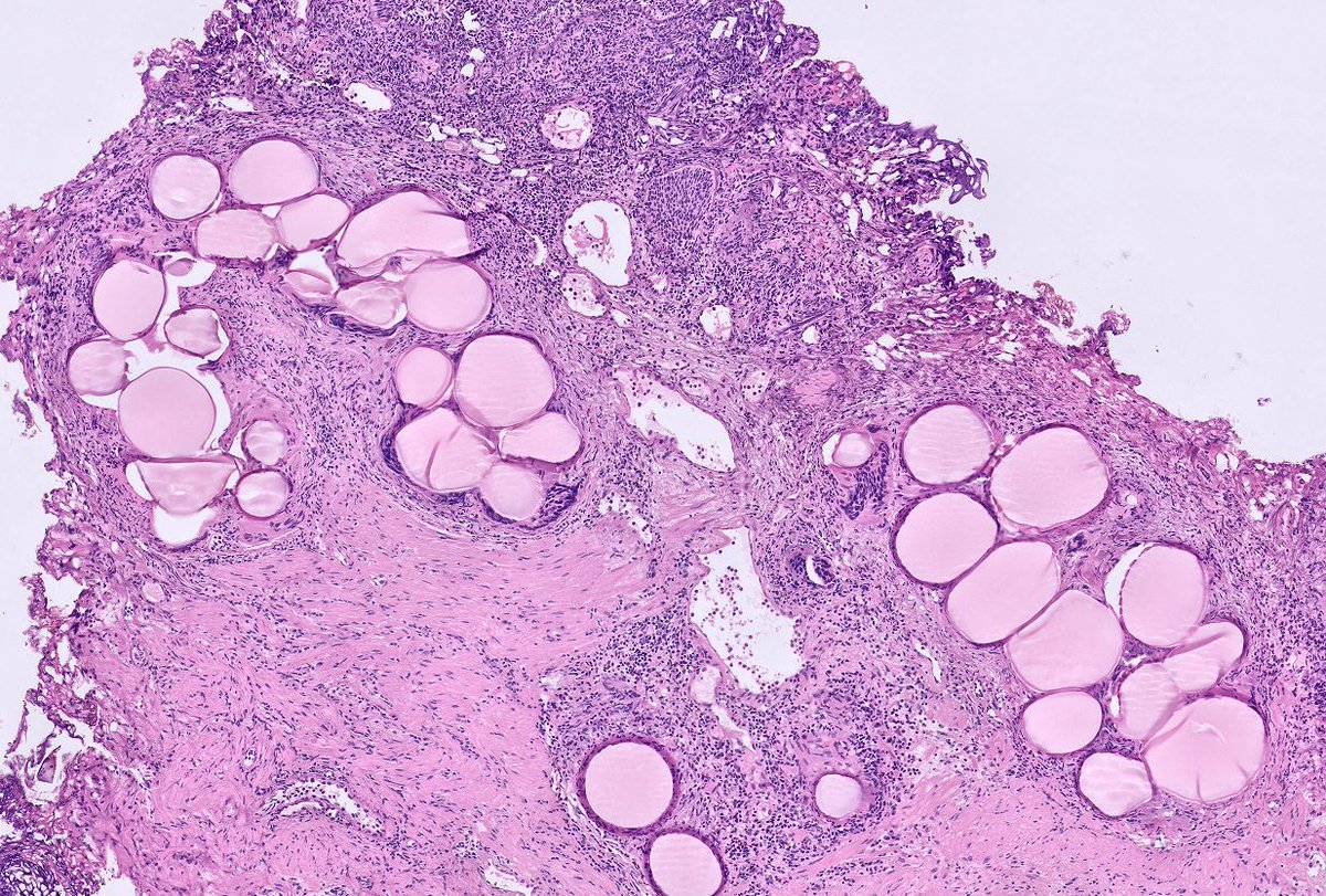
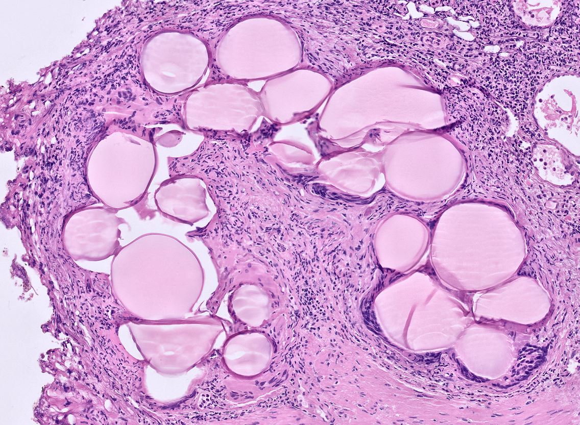
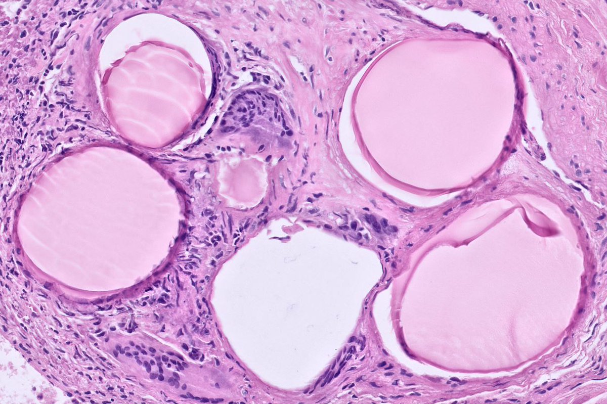
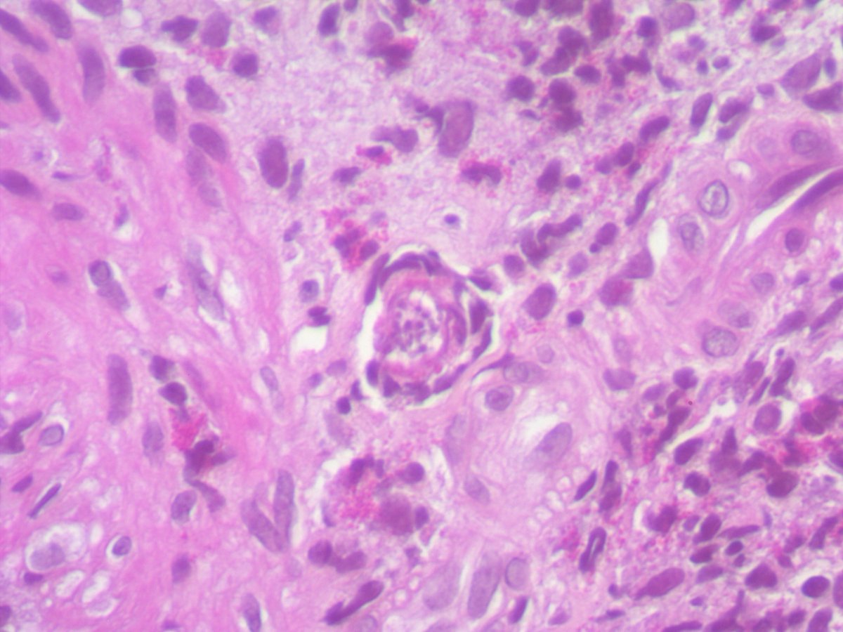
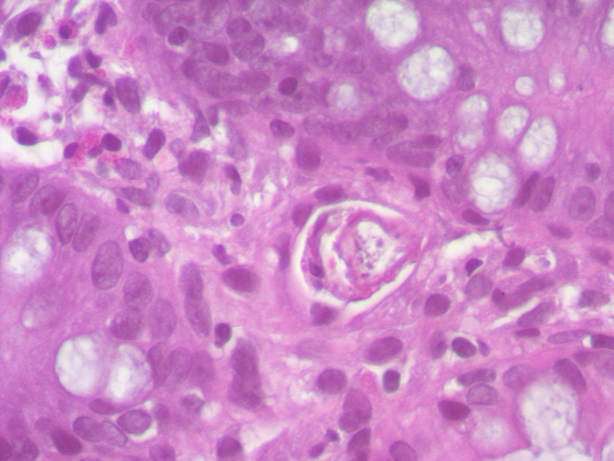
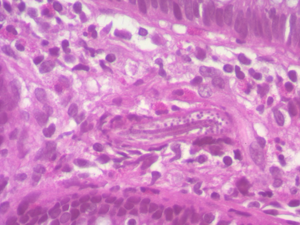
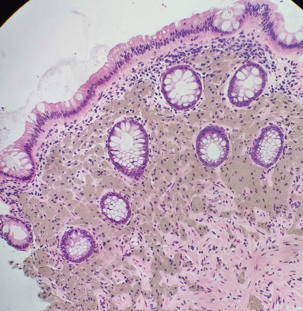
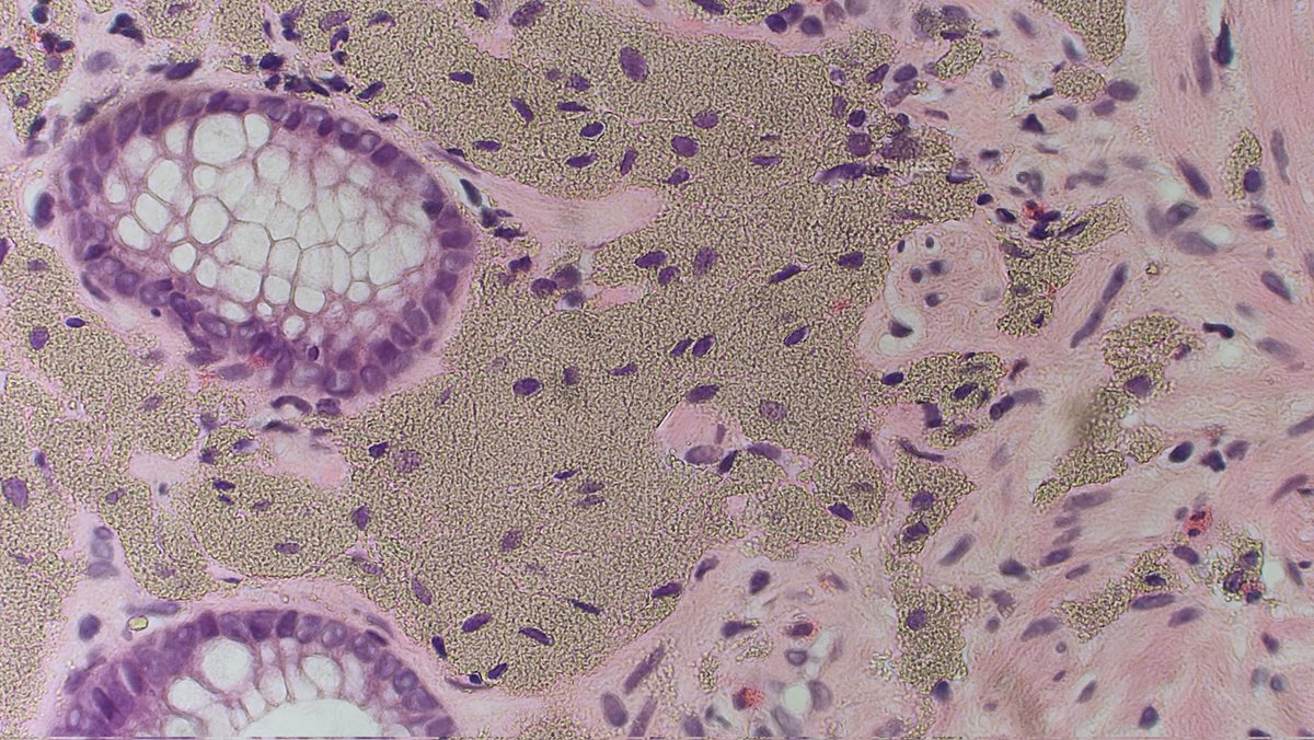
Any thoughts on this beautiful, elegant creature that "crawled" into the colonic mucosa and presented as polyp !! I have been googling it for ages and can't find a morphologic fit with any of the adult/ larval parasitic forms that I have ever encountered. Pt is asymptomatic.




