Jian Li MD PhD
279 posts

Jian Li MD PhD
@ufjian2
Chief resident PGY3 RWJ Cooperman Barnabas Medical Center Department of Pathology

SAVE THE DATE! 📅 The AABB Virtual Journal Club will meet Aug. 29 and 30 to discuss new and important advances in transfusion medicine and the ways they shape how we teach, learn and grow as health care providers. Sign up for updates: bit.ly/3YAsZNW #AABBjc






























Received my author copy of Ace The Boards: Surgical Pathology Reimagined. This undertaking could not have been completed without the assistance of the #PathTwitter whose names may not be all enumerated here. Their contributions are sincerely appreciated & gratefully acknowledged.




Truly said - Whatever the mind can conceive and believe, it can achieve. Believe in yourself & you are halfway there! @AceMyPath's & mine 13th book! Unshakeable belief, unstoppable soul, & unimaginable dedication - That's #TeamAce for you! #Pathology #TeamworkMakesTheDreamWork

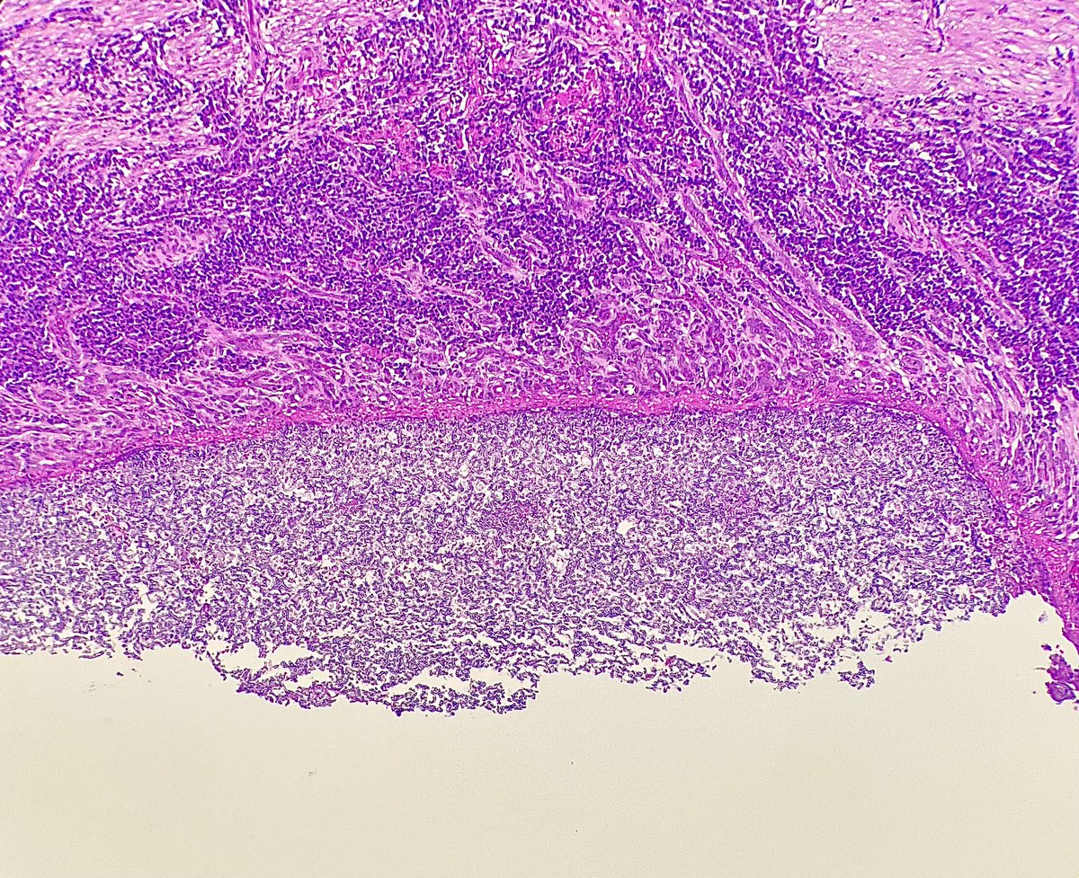
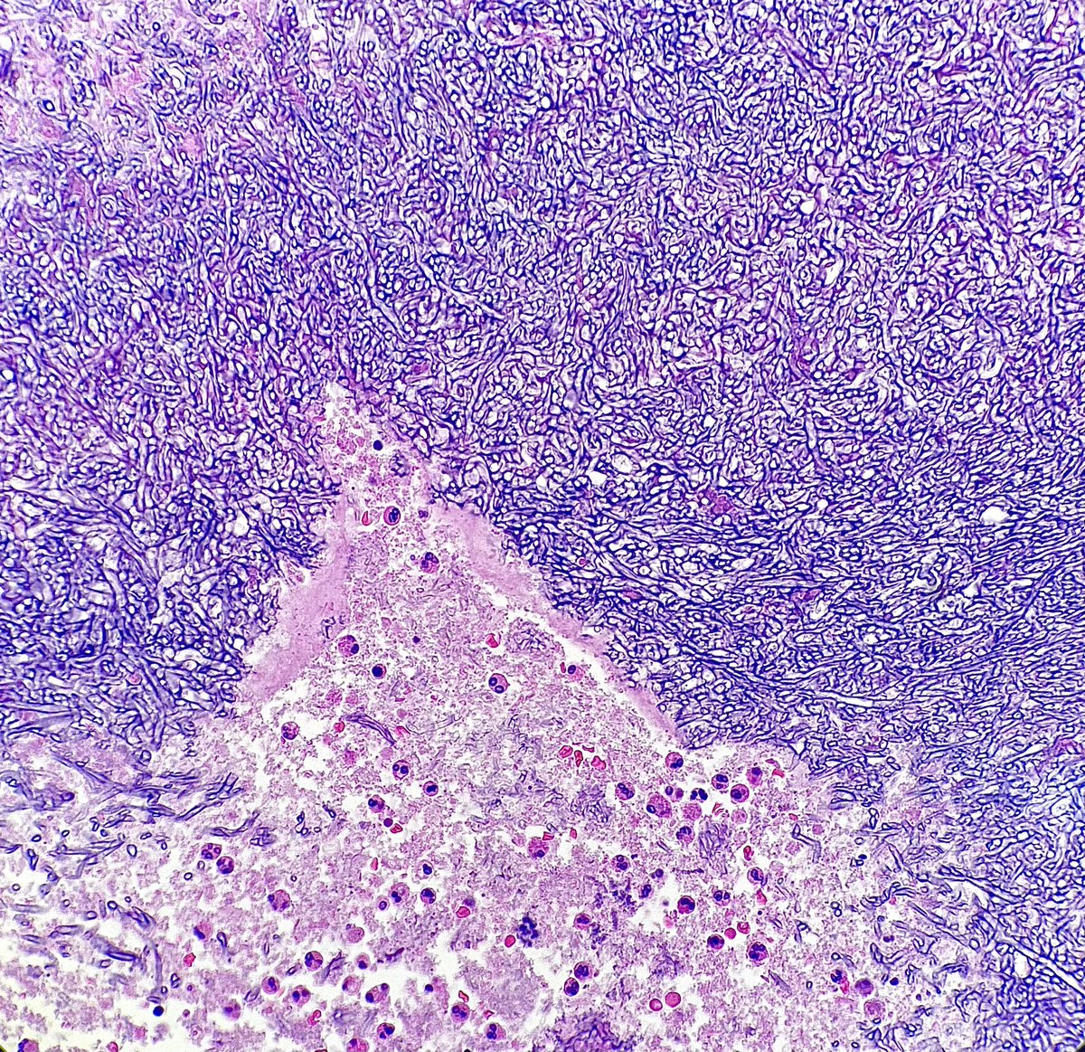
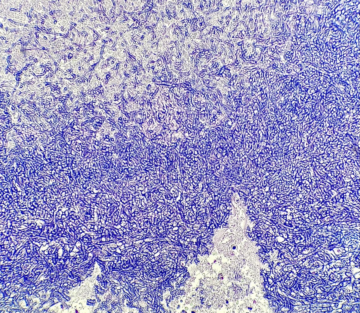
THE WAY PATHOLOGY BOOKS SHOULD BE IN THE 21ST CENTURY-SIMULATING MULTIHEAD SCOPE TEACHING USING THE BIGGEST MULTIHEAD SCOPE IN THE WORLD-PATHPRESENTER Thanks to AceMyPath team for the great effort put in to create a spectacular print book with annotated WSI for every diagnosis.


Pathology trainees/budding pathologists take note: #AceMyPath team is soon releasing a surgical pathology boards review book like none other "ACE THE BOARDS: SURGICAL PATHOLOGY REIMAGINED" Here is a glimpse of what is to come! #Happylearning @AceMyPath @AkankshaGuptaMD



