Sabitlenmiş Tweet
Josefin Elzén
326 posts

Josefin Elzén
@echography
Point of Care Ultrasound Academy for medical students at KI since 2014. POCUS Akademi Tuesdays monthly at Kliniskt träningscentrum 4-6 pm.
Nya Karolinska Stockholm Katılım Kasım 2015
146 Takip Edilen229 Takipçiler

2024 års första falldragning med läkarstudenter på @karolinskainst Point of care ultrasound på POCUS akademin på KTC klinislt träning centrum @KarolinskaUnsju

Svenska
Josefin Elzén retweetledi

Josefin Elzén retweetledi

#WINFOCUS22 (winfocusworldcongress.com/registration/)
FREE REGISTRATION!!!FREE REGISTRATION!!!
World #POCUS Congress hosts WORLD EXPERTS;
Dr Papa Mbroh:
"supper exited to let the world know my experience with #POCUS. I was blind but now I see",
3DEC@10:00




English
Josefin Elzén retweetledi

What type of aortic valve is present here?
@schaefers_hans @iamritu @ASE360 @AJamilTajik @JGrapsa @rajdoc2005 @alexsfelixecho @AHagendorff @alessia_gimelli @argulian @fiore_corrado @MAecocardio @dr_benoy_n_shah @EZancanaroMD @EchoBielefeld @OAB1967 @purviparwani @GE_IanMc
English
Josefin Elzén retweetledi
Josefin Elzén retweetledi

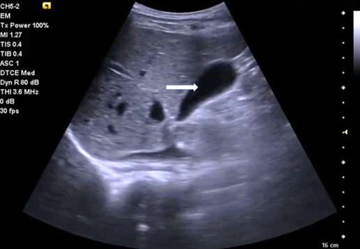
Halloween special: A middle aged male presented with abdominal pain. An echocardiogram was done that showed this finding. What is the clinical finding/diagnosis? @drnhassanpour #Medtwitter
English
Josefin Elzén retweetledi

@buckeye_sanjay @GuImbriaco @AccpmJ @AirliftNurse @ProcedurePRIME In Sven Ivar Seldinger’s original description he used “bevel up” for puncture, but recommended rotating 180 degrees to “bevel down” prior to guidewire (“leader”) insertion which appears to be done with bevel up in “B” ⬇️

English
Josefin Elzén retweetledi
Josefin Elzén retweetledi
Josefin Elzén retweetledi

#MAPSE (aka left ventricular atrioventricular plane displacement, AVPD) has independent prognostic association beyond GLS in HFrEF.
Berg J, et al, ESC Heart Fail, 2022
pubmed.gov/35411699

Română
Josefin Elzén retweetledi

Nya expert rekommendationer från @ESICM vad du som #intensivist bör behärska inom #ultraljud. Se nedan #lungultrasound #CCUS #POCUS
link.springer.com/epdf/10.1007/s…

Danderyd, Sverige 🇸🇪 Svenska
Josefin Elzén retweetledi

Ultrasound Program Management @ACEP_EUS : A Comprehensive Resource for Administrating Point-of-Care, Emergency, and Clinical Ultrasound
—Recommended read for #POCUS fellows
—bit.ly/3xvcuFn

English
Josefin Elzén retweetledi

@chinmayparale @RJonesSonoEM @ACEP_EUS @thepocusatlas @IMPOCUSFocus @TaotePOCUS @Manoj_Wickram @NephroP @MetroHealth_EM @MH_EMultrasound @jminardi21 @HeyDrNik @siddharth_dugar @msiuba This is a good question. To find the L pleural effusion, you have to look next to the L ventricle, and the part of the clip that includes the LV here is this subcostal view frame 👇

English

POCUS Akademi 2021 på KTC i Solna -vilken start!!! #POCUS #ultrasound #medicaleducation #karolinskainstitutet Nya gruppen äntligen på plats på årets kick-off och knappologi:

Svenska
Josefin Elzén retweetledi

#WINFOCUS21 world Congress was huge success;2 days,3 tracks,100+ top-notch lectures from global experts.
All lectures & panels freely accessible to @WINFOCUS members; full or affiliate!
Membership rates from 10€/yr!
Congress atendees get 50% discount!
winfocus.org/memberships/
English
Josefin Elzén retweetledi





