
MyHeart
276 posts

MyHeart
@MyHeartPrevent
Looking to raise awareness about early coronary disease detection and prevention.



🏆 SCCT Best Original Science Award goes to Dr. Joel Lenell, MD, PhD at the 20th Annual @Heart_SCCT Scientific Meeting! Supported by @CVRF_SoCal and @CVMGBevHills His winning abstract: “Intensive Medical Treatment Reduces Non-calcified Coronary Plaque in Women With Non-obstructive CAD”—powered by AI-enabled plaque analysis in the WARRIOR trial. 📖 Read more: scct.org/news/706265/SC… #CardioTwitter #AIinMedicine #WIC #SCCT2025 #CVImaging #PreventiveCardiology #WARRIORtrial #CAD #HeartHealth @Cardiac_Wire @DanielKarlsberg @BudoffMd @Cleerlyhealth @RayDalio






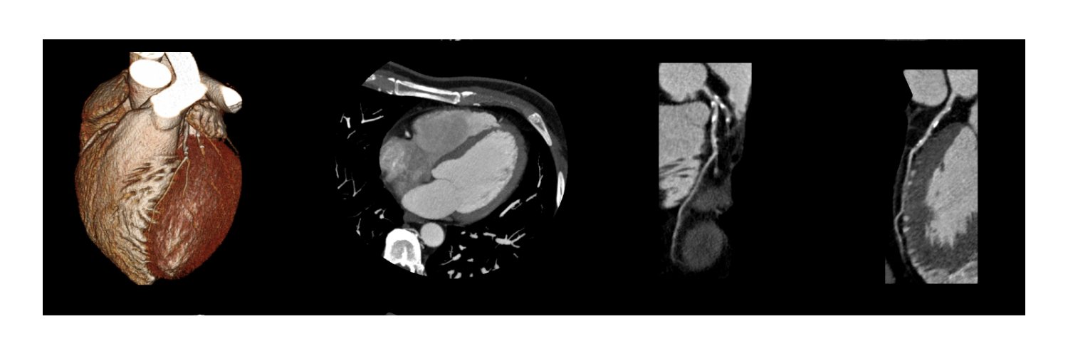
Regarding the VA AI calcium score study (ai.nejm.org/doi/full/10.10…): Our team at @CVRF_SoCal led one of the first FDA-cleared validation of AI coronary calcium scoring but not from chest CTs (pubmed.ncbi.nlm.nih.gov/37139562/). In 100 non-contrast CACs, AI matched 3 expert readers with R=0.996. Using CAC-DRS calcification system, AI showed 86% agreement; 14% were reclassified—mostly due to underestimating RCA calcium or overestimating RV density for CAC 0–1 which can be clinically relevant to treatment. Overall accuracy of our study: 89%, aligning with the VA study of 84% using chest CT - encouraging for wide-spread adoption. @khurramn1 @CotsCardiology #calciumscore @Heart_SCCT @DrMarthaGulati @EricTopol @RonBlankstein @CVMGBevHills @CAIALOfficial @BudoffMd #artificalintelligence @elonmusk @WHO @BhavikPatelMD @ACCinTouch



AI-CAC enables coronary calcium scoring from routine chest CTs 20K scans, 98 VA sites, 89% accuracy From my perspective, time to connect AI outputs to action, to truly maximize implementation-->prevention ai.nejm.org/doi/full/10.10… #DigitalHealth @HoustonMethodist @RiceUniversity

Whilst individuals can change the World, Teams are the ones who really do the hard work ❤️ This is our secondary prevention cardiovascular rehabilitation team of superstars ⭐️⭐️⭐️⭐️⭐️⭐️⭐️⭐️⭐️⭐️⭐️ @MidlandMetUH @CardiologySWBH @SWBHnhs



The spy plane Keir Starmer is sending daily over Gaza to collect intel for Israel is based at RAF Waddington in Lincolnshire It appears RAF pilots are practising their missions over Gaza within Britain itself This one spent 2 hours doing circles at 12,000 feet this afternoon












apoC-III a thread...🧵a small apolipoprotein. Present in the circulation on triglyceride rich lipoproteins and HDL. To a lesser extent LDL. The distribution depends upon metabolic status (fed or fasted). The transcription rate is DECREASED by insulin but INCREASED by glucose...🍩













