Aysha Mubeen
6.3K posts

Aysha Mubeen
@AMubeen_Path
MD | Pathologist & Cyto fellowship director @UNMPathology | Fellowships @brighamwomens @UABPathology| Residency @ Univ of Florida| #gynpath #GUpath #cytopath










Join @aimhaider BAUP for this in person Advanced Bladder Course and enjoy spring in London. Course inlcudes lectures by international and national faculty with small group interactive sessions and slide microscopy. Register: ow.ly/eO6X50XHhPK #pathology #bladder #cpd

To whom it may concern, Stop gaslighting physicians who are not willing to sacrifice themselves at the altar of medicine. Refusing to self-sacrifice does not indicate a lack of work ethic. It means one knows their priorities and has the courage to advocate for themselves.










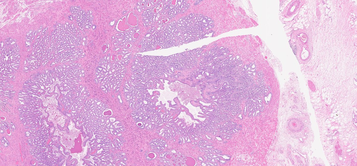
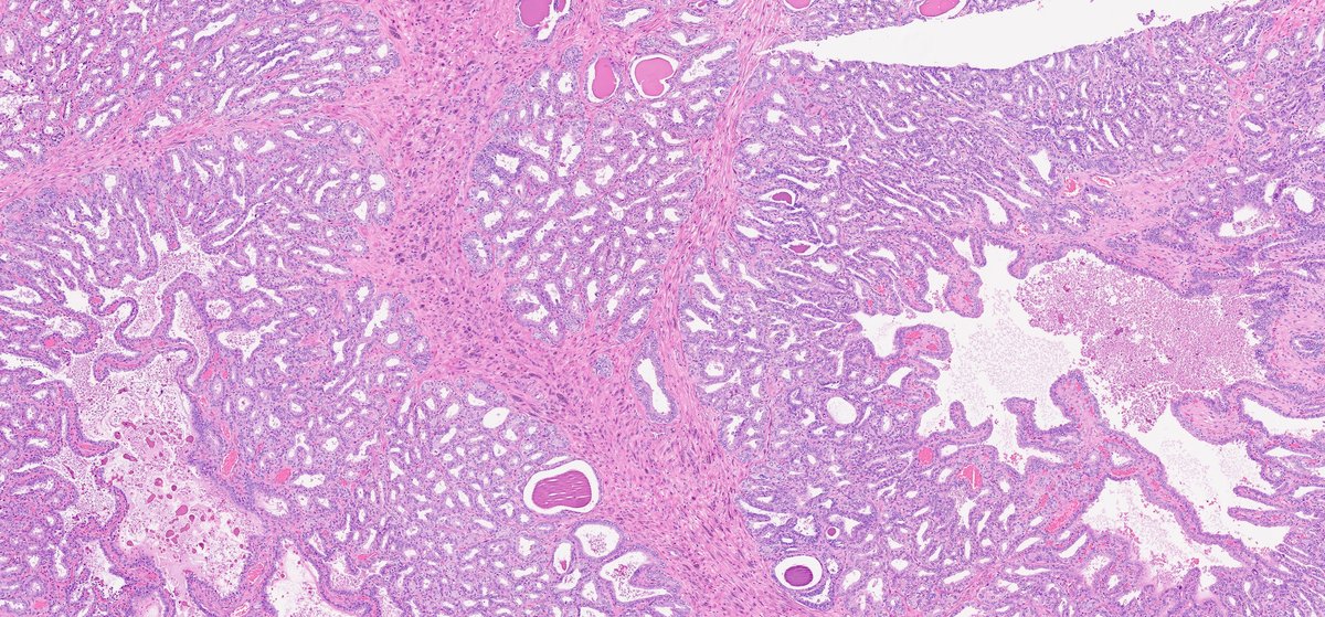
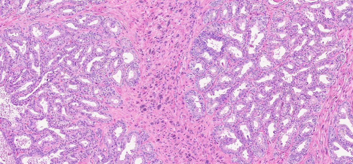
Don’t miss out on these great topics with detailed review from the 4️⃣th quarter of 2025 #gupath Reviewed by Francesca Sanguedolce #ISUP Journal Club Archives: isupweb.net/journal-club/ FREE LINK to @AJSPjournal articles 🔗 journals.lww.com/ajsp/abstract/… 🔗 journals.lww.com/ajsp/abstract/…

What's something simple that lifts your mood?




























