Sabitlenmiş Tweet

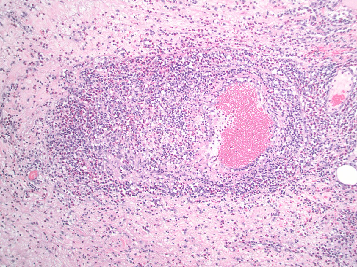
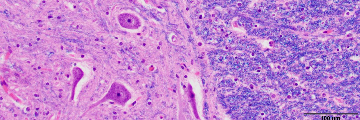
Let's work through a case together! Young adult with hemispheric brain mass with post-contrast enhancement.
1. What is your histologic diagnosis
2. What IHC and/or molecular tests should we consider when we see this specific histopathology?
#neuropath @UIPathology



English















































